All posts by Trị Quản

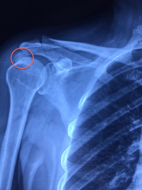
Bệnh Lắng Đọng Tinh Thể Hydrixyapatile (HADD)

Có thể khi đi khám về khớp hoặc tình cờ chụp phim X quang, bạn nhận thấy có 1 đám cản quang ở quanh khớp của mình, đó cũng có thể là bạn bị bệnh lắng đọng tinh thể Hydroxyapatite ở các điểm bám của gân vùng gần khớp, đặc biệt hay gặp ở khớp […]

Đọc thêm

Xương Bả Vai Lên Cao

  Bệnh xương bả vai lên cao ( winging scapula; elevated scapulae; …) là thương tổn bẩm sinh không quá hiếm gặp, tuy nhiên dễ bỏ sót. Việc phát hiện sớm sẽ giúp cho việc điều trị ( phục hồi chức năng, phẫu thuật,…) đạt hiệu quả cao. Việc phẫu thuật muộn, khi trẻ lớn, yếu […]

Đọc thêm

Hoại Tử Xương Vô Khuẩn

Hoại tử vô khuẩn chỏm xương đùi khá thường gặp ở giai đoạn hiện nay, nguyên nhân được cho là có yếu tố tổn thương mạch nuôi nên đôi khi còn được gọi là hoại tử vô mạch (avascular necrosis of femoral head). Về lý thuyết, hoại tử xương có thể gặp ở nhiều vị […]

Đọc thêm

Hội Chứng Hẹp Khoang Phía Trước Của Khớp Cổ Chân

Hội chứng hẹp khoang phía trước của khớp cổ chân: 1 nguyên nhân gây đau mạn tính khớp cổ chân Hẹp khoang khớp cổ chân (ankle impingement) được xác định là tình trạng đau và hạn chế cơ học biên độ vận động khớp cổ chân do các bất thường về xương hoặc phần mềm. […]

Đọc thêm

Góc Xoay Ngoài 3º???

Các trục giải phẫu xương đùi   Khi thực hiện phẫu thuật thay khớp gối, một thông số thường được nhắc đến và yêu cầu độ chính xác khá ngặt nghèo, đó là phải đảm bảo sự xoay ngoài đủ của lồi cầu đùi.   Bản thân lồi cầu đùi không phải xoay ngoài mà […]

Đọc thêm
1 4 5 6 7 8 15